Răng sứt mẻ, gãy vỡ và những cách khắc phục tốt nhất hiện nay

Thảo luận trong 'Chợ Linh Tinh' bắt đầu bởi Phamoanh2603, 10/8/17.

  1. Phamoanh2603

    Phamoanh2603 New Member

    Hiện nay, với sự phát triển của ngành nha khoa thẩm mỹ, mọi khuyết điểm của răng đều được giải quyết một cách nhanh chóng và khuyết điểm răng bị sứt mẻ, gãy vỡ cũng không phải là ngoại lệ. Hãy cùng chúng tôi tìm hiểu vấn đề này ngay sau đây nhé!

    Răng bị sứt mẻ

    Trong trường hợp này bạn có thể lựa chọn 1 trong 2 phương pháp là trám răng thẩm mỹ hoặc bọc răng sứ. Tuy nhiên chúng tôi khuyên bạn nên bọc răng sứ. Bởi lẽ nếu bạn trám răng thì vẫn có thể khắc phục được khuyết điểm này, tuy nhiên miếng trám này rất dễ bị bung ra sao một thời gian sử dụng, đặc biệt là khi tiếp xúc với đồ quá nóng hay quá lạnh đột ngột. Bên cạnh đó, miếng trám này dễ bị bám màu thực phẩm hơn răng thật, chính vì vậy mà sẽ xuất hiện hiện tượng màu sắc răng không đều trên toàn hàm.

    [​IMG]
    Bọc răng sứ cho răng bị mẻ

    Ngược lại phương pháp bọc răng sứ khắc phục hoàn toàn những nhược điểm của phương pháp trám răng thẩm mỹ. Bạn có thể ăn nhai bất kỳ những đồ ăn mình thích (dù cứng hay dai đều được), răng không bị nhiễm màu sau khoảng thời gian dài sử dụng và răng sứ có tuổi thọ rất cao. Tuy nhiên bọc răng sứ có 1 nhược điểm so với phương pháp trám răng là chi phí cao hơn.

    Xem thêm: http://smiledesign.vn/boc-rang-su-bao-nhieu-tien-tai-nha-khoa-viet-uc/để biết chi phí cho phương pháp bọc răng sứ nhé! Tuy nhiên chúng tôi nghĩ rằng, so với những ưu điểm vượt trội mà bọc răng sứ mang lại thì mức chi phí này hoàn toàn là hợp lý.

    Răng bị gãy, vỡ

    Khi răng bị vỡ thì sẽ có hai trường hợp xảy ra:

    - Trường hợp 1: Răng bị vỡ không quá ½ răng thì lúc này bạn có thể lựa chọn phương pháp bọc răng sứ. Nếu như phần răng thật còn lại quá ít thì sẽ không đảm bảo được vai trò làm trụ để mọc mão sứ bên ngoài.

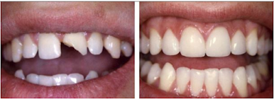
    [​IMG]
    Hình ảnh bệnh nhân trước và sau khi bọc răng sứ

    - Trường hợp 2: Răng bị gãy hay vỡ quá nhiều (chỉ còn lại chân răng hoặc chút thân răng). Lúc này bạn có thể chọn phương pháp làm cầu răng sứ hoặc nhổ răng đi để trồng Implant. Chỉ như vậy mới có thể đảm bảo tính thẩm mỹ cũng như độ bền chắc cho răng.

    Để biết chính xác đâu là phương pháp tốt nhất cho bản thân thì bạn nên đến trực tiếp nha khoa để được bác sĩ tư vấn nhé. Khi biết được tình trạng hiện tại của bạn như thế nào, kết hợp với trình độ chuyên môn của mình, bác sẽ sẽ đưa cho bạn những lời khuyên tốt nhất.

    Nguồn: http://smiledesign.vn/
     
    #1

Chia sẻ trang này