Tẩy trắng răng khi hút thuốc lá

Thảo luận trong 'Chợ Linh Tinh' bắt đầu bởi marcoexo05, 29/6/17.

  1. marcoexo05

    marcoexo05 Member

    Việt Nam là một trong 15 nước có tỷ lệ người hút thuốc lá cao nhất thế giới, theo thống kê của Tổ chức Y tế thế giới. Không chỉ gây ung thư phổi, ung thư vòm họng…, hút thuốc lá còn là một trong những nguyên nhân của nhiều bệnh răng miệng nguy hiểm.

    Những tác hại đối với răng miệng do hút thuốc lá gây ra

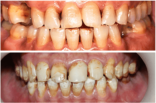
    Trong thuốc lá có 3 độc chất được coi là kẻ thù chính của răng miệng là Nicotin, Monoxyd De Carbon (hay còn gọi là khí CO) và Acid Cyanhydrid, đây là các thành phần gây mất cân bằng hệ vi khuẩn phát triển trong miệng, giảm lưu lượng máu trong nướu, giảm nồng độ kháng thể trong nước bọt và máu, là nguyên nhân của nhiều vấn đề răng miệng.

    [​IMG]


    Hút thuốc lá nhiều làm các gai lưỡi phát triển quá mức, có màu xám, tạo nhiều nếp gấp giúp vi khuẩn dễ bám, từ đó gây hôi miệng, ảnh hưởng đến tâm lý giao tiếp.

    Những người hút thuốc có nguy cơ bị các vấn đề về răng miệng cao gấp 4,7 lần so với người không hút thuốc do sự gia tăng vi khuẩn miệng, giảm lưu lượng máu trong nướu…

    Mảng bám trên răng là nguyên nhân chính gây sâu răng, bệnh nha chu. Một mg mảng bám chứa đến 200 – 300 triệu vi khuẩn. Khi những mảng bám này tích tụ trên răng, nếu không được làm vệ sinh răng miệng đầy đủ thì Canxi và Phosphate trong nước bọt kết hợp với đường trong mảng bám làm vôi hóa mảng bám và hình thành cao răng, gây bệnh viêm nướu, nha chu. Bệnh răng miệng khi không được điều trị sẽ trầm trọng hơn, gây sâu răng, thậm chí mất răng.

    Chải răng hiệu quả: Hầu hết mọi người chải răng hằng ngày nhưng không phải ai cũng chải đúng cách, đối với người hút thuốc lá thì việc chải răng đúng cách lại càng quan trọng hơn, đó là:


    Chải răng 3 lần một ngày sau các bữa ăn và trước khi ngủ. Mỗi lần chải răng ít nhất 3 phút.

    Chải kỹ mặt trước, mặt sau và mặt nhai của răng. Chú ý chải những khu vực tập trung mảng bám, cao răng như: kẽ răng, các răng bị khập khểnh không đều, mặt nhai của răng hàm, mặt ngoài và mặt sau của răng cửa hàm dưới.

    Khi chải răng: Đặt bàn chải vừa vặn trên bề mặt răng chải từng răng một hoặc hai răng một lần theo chiều dọc, di chuyển bàn chải theo từng bước nhỏ, chậm và nhẹ nhàng.

    Không được bỏ sót khu vực viền nướu vốn là nơi tập trung nhiều mảng bám “cứng đầu”: đặt bàn chải một góc 45 độ tại đường viền giao giữa răng và nướu, di chuyển bàn chải từng chút một.


    Sử dụng kem đánh răng đặc trị để tẩy trắng răng khi hút thuốc lá, loại bỏ mảng bám và vết ố màu trên răng: Không chỉ với những người hút thuốc lá, ngay cả những người thường xuyên uống trà, cà phê cũng cần chú ý điều này để giữ cho mình một hàm răng không bị xỉn màu. Theo đó, mọi người nên sử dụng kem đặc trị vết ố trên răng.
    http://benhviennhakhoa.weebly.com/h...p-trai-son-tung-chay-cung-hang-nghin-khan-gia
     
    #1

Chia sẻ trang này