Khắc phục mất răng cửa như thế nào

Thảo luận trong 'Chợ Linh Tinh' bắt đầu bởi anantran112, 4/5/17.

  1. anantran112

    anantran112 Member

    Gãy răng cửa phải làm sao ? Vì một tai nạn hay vì một lý do nào đó khiến chiếc răng cửa của bạn bị gãy và băn đang muốn tìm cách khắc phục nhanh chóng. Vậy bạn hãy tham khảo ngay bài viết dưới đây.
    ✓ Có thể bạn quan tâm:
    >> http://cangdamatantoan.blogspot.com/2017/05/gay-rang-cua-phai-lam-sao-de-khac-phuc.html
    >> http://cachtribenhhoinach.blogspot.com/2017/05/gay-rang-cua-phai-lam-sao-de-khac-phuc.html


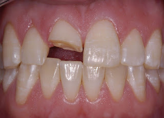
    Răng cửa không những đóng vai trò quan trọng trong khi cắn xé thức ăn mà nó còn được coi là “bộ mặt” của hàm răng vì vậy nếu răng mất sẽ ảnh hưởng đến cả chức năng ăn nhai và tính thẩm mỹ.

    Gãy răng cửa phải làm sao để khắc phục?

    Hiện nay, các phương pháp trồng răng giả phát triển, giúp phục hình răng giả đẹp như răng thật và phục hồi chức năng ăn nhai ổn định.


    [​IMG]

    Ta có thể chia làm 2 trường hợp cụ thể để biết gãy răng cửa làm thế nào mới là cách tốt nhất:


    Gãy răng cửa phải làm sao nếu vẫn còn chân răng?

    + Nếu tỉ lệ chiếc răng gãy mất dưới 1/2 thân răng thì bị gãy răng cửa phải làm sao sẽ đơn giản hơn. Bạn chỉ cần bọc răng sứ bằng cách mài cùi răng gãy sau đó sử dụng chụp răng sứ lên.

    + Nếu trường hợp gãy răng vẫn còn chân răng, chân răng và xương ổ răng không bị tổn thương thì bạn có thể lựa chọn phương pháp làm cầu răng sứ. Cách này có thể áp dụng với điều kiện 2 răng kế cận răng mất còn khỏe mạnh.

    Bác sĩ thực hiện mài cùi 2 răng kế cận để làm trụ đỡ, sau đó lấy dấu hàm order labo thiết kế cầu răng sứ gồm 3 răng dính liền vào nhau rồi dùng cầu răng sứ gắn lên răng đã mài cùi và răng mất.
    Gãy răng cửa làm thế nào nếu mất chân răng?

    + Trường hợp mất 1 răng như Hoài Anh thì cách tốt nhất là cấy ghép răng implant. Trụ implant thay thế chân răng mất được cấy xuống dưới nướu, abutment là trụ đỡ bên trên và thân răng sứ được chụp lên thay thế chiếc răng thật.

    + Còn nếu mất nhiều răng, bác sĩ sẽ chỉ định làm cầu răng kết hợp cấy ghép implant để phục hình.

    Công nghệ làm răng implant 4S và bọc răng sứ CT 5 chiều được áp dụng tại nha khoa KIM sẽ là lựa chọn tốt nhất cho bạn. Với nhiều ưu điểm nổi trội, phương pháp giúp phục hình răng mất bền chắc, ăn nhai và cảm biến thức ăn như răng thật đồng thời đảm bảo được tính thẩm mỹ.


    Nếu như còn thắc mắc nào về cách khắc phục răng cửa bị gãy nhanh chóng thì bạn có thể liên hệ nha khoa KIM theo tổng đài 19006899 để được tư vấn và giải đáp chi tiết nhất nhé!
     
    #1

Chia sẻ trang này