3 trường hợp bọc răng sứ hoàn toàn vô ích

Thảo luận trong 'Chợ Linh Tinh' bắt đầu bởi Phamoanh1502, 21/7/17.

  1. Phamoanh1502

    Phamoanh1502 New Member

    Bạn biết rằng không phải tất cả các trường hợp đều có thể bọc răng sứ, tuy nhiên lại không biết chính xác đó là trường hợp nào. Nếu bạn muốn tìm đáp án cho câu hỏi này thì không nên bỏ qua bài viết sau đây của chúng tôi.

    Những trường hợp không thể bọc răng sứ

    Nếu bạn thuộc những trường hợp sau thì không nên bọc răng sứ nhé:

    - Sai lệch khớp cắn quá nghiêm trọng (hô móm nặng, răng mọc lệch lạc nhiều): Nhiều người muốn tiết kiệm thời gian nên quyết tâm sử dụng phương pháp bọc răng sứ dù mình bị hô móm nặng. Trong khi đó, niềng răng mới là giải pháp hiệu quả nhất cho trường hợp này. Bởi lẽ khi bọc răng sứ, tỷ lệ răng cần mài rất lớn và điều này hoàn toàn không tốt cho răng thật.

    Bạn chỉ nên bọc răng sứ trong trường hợp khớp cắn sai lệch ở mức độ nhẹ. Để hiểu hơn về vấn đề này, bạn có thể tham khảo thêm tại bài viết: Bọc răng sứ cho răng khấp khểnh.

    - Răng quá nhạy cảm: Trường hợp răng thường xuyên bị ê buốt hoặc đau nhức khi có bất kỳ sự tác động nào thì bạn cũng không nên bọc răng sứ. Vì trong quá trình bọc răng sứ có 1 thao tác bắt buộc phải thực hiện đó chính là mài cùi răng. Thao tác này có thể khiến tình trạng của bạn trở nên nghiêm trong hơn.

    [​IMG]
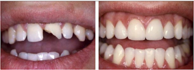
    Không thể bọc răng sứ nếu răng bị vỡ quá nhiều

    - Răng bị gãy vỡ quá nhiều: Nếu răng bị gãy không quá ½ răng thì bạn mới có thể sử dụng răng sứ. Bởi lẽ nếu quá ít thì chiếc răng đó không đủ để làm trụ giữ mão sứ được vững chắc. Trong trường hợp này, bạn có thể sử dụng phương pháp trồng răng Implant hoặc làm cầu răng sứ.

    Những lưu ý quan trọng khi bọc răng sứ

    - Lựa chọn loại răng sứ phù hợp: Hiện nay có 2 dòng răng sứ chính đó chính là răng sứ kim loại và răng toàn sứ. Tuy nhiên, do có nhiều ưu điểm vượt trội như tuổi thọ lớn, tính thẩm mỹ cao … nên mọi người sử dụng dòng răng toàn sứ nhiều hơn.

    [​IMG]
    Lựa chọn địa chỉ nha khoa uy tín để bọc răng sứ

    - Lựa chọn địa chỉ nha khoa uy tín: Việc lựa chọn nơi tiến hành bọc răng sứ vô cùng quan trọng. Bởi lẽ, chỉ những nha khoa uy tín mới có đội ngũ bác sĩ giỏi chuyên môn, giàu kinh nghiệm cũng như trang thiết bị hiện đại. Tất cả sẽ đảm bảo được tất cả các bệnh lý về răng được điều trị dứt điểm trước khi bọc răng sứ, tỷ lệ răng cần mài chính xác, mão sứ chế tác và lắp sát khít với cùi răng đã được mài trước đó.

    Nếu bạn chưa biết địa chỉ bọc răng sứ uy tín thì có thể xem thêm tại bài viết:Bọc răng sứ uy tín tại Hà Nội?

    - Sau khi bọc răng sứ cần chăm sóc đúng cách cũng như đến nha khoa tái khám định kỳ.

    Hy vọng bạn cảm thấy hài lòng với những chia sẻ trên đây của chúng tôi. Chúc các bạn sớm lựa chọn được phương pháp tốt nhất cho mình.
     
    #1

Chia sẻ trang này